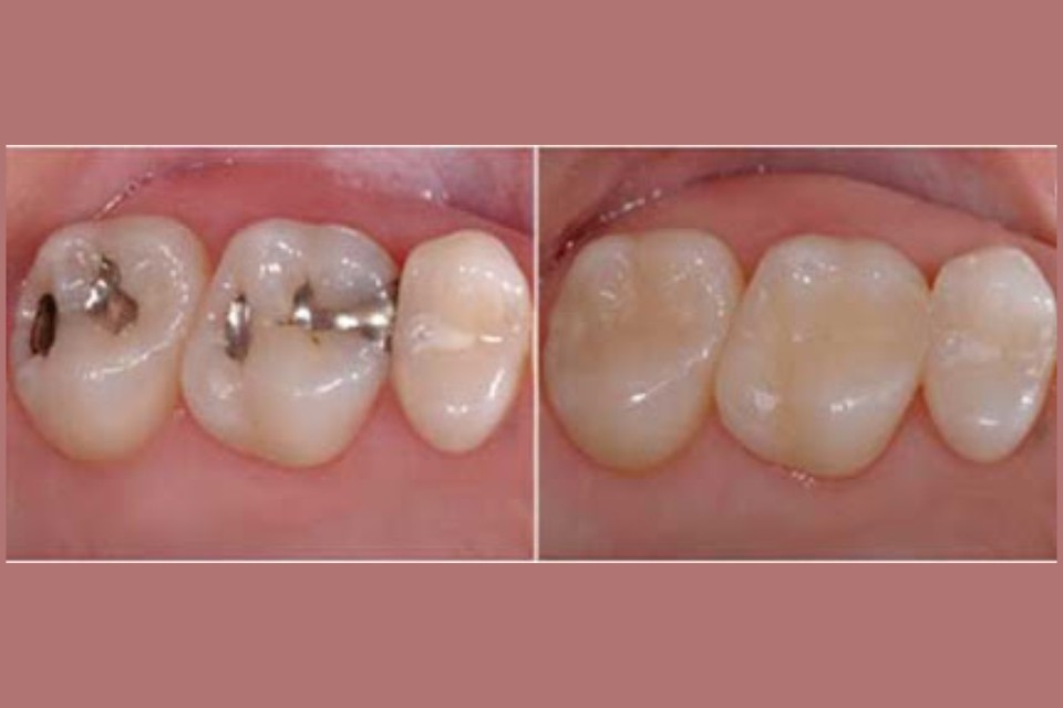
Beyaz Dolgu Nedir?
Beyaz Dolgular (Beyaz ışıklı dolgular) halk arasında "Lazer Dolgu" olarak bilinmektedir. Ancak kompozit malzemesinin sertleşmesi için kullanılan ışık kaynağı lazer değil,halojen veya LED ışık kaynaklarıdır. Kompozit materyali ise, diş sert dokusunu taklit edebilen polimer yapılardır. Bu materyaller dişlere yapılan ön hazırlık sayesinde kolayca dişe tutunabilmektedir.
Uygulama Ne Kadar Sürer?
Dolgunun büyüklüğüne bağlı olarak 15-30 dakika arası sürer.